direkt zum Inhalt springen
Abdeckung

News

 

Doppelter Angriff auf entartete B-Zellen

09.01.2026 / Das Multiple Myelom, eine Krebserkrankung des Knochenmarks, ist trotz moderner CAR-T-Zelltherapien schwer zu behandeln. Ein Team um Armin Rehm stellt in „Molecular Therapy“ eine verbesserte Immuntherapie vor, die die entarteten Zellen gleich an zwei Merkmalen erkennt und vernichtet.

© Ioannis Anagnostopoulos, Institut für Pathologie, Universität Würzburg
© Ioannis Anagnostopoulos, Institut für Pathologie, Universität Würzburg

Ein Multiples Myelom ist eine unheilvolle Diagnose. Meist nimmt die Krankheit im Knochenmark ihren Lauf. Reife B-Zellen, Plasmazellen genannt, fangen dort an, sich unkontrolliert zu vermehren und zu viele, teilweise fehlerhafte Antikörper herzustellen. Heilbar ist die Krebserkrankung, die unter anderem die Knochensubstanz zerstört und dann sehr schmerzhaft sein kann, bislang nicht.

Moderne CAR-T-Zelltherapien können seit einigen Jahren das Leben vieler Myelom-Patient*innen zwar deutlich verlängern, doch auch sie haben Schwächen. „Bei manchen Betroffenen schlägt die Behandlung gar nicht an. Bei anderen kommt es früher oder später zu Rückfällen, die dann oft schnell zum Tode führen“, erklärt Dr. Armin Rehm, der Leiter der Arbeitsgruppe „Translationale Tumorimmunologie“ am Max Delbrück Center.

Im Fachblatt „Molecular Therapy“ stellt der Berliner Forscher jetzt gemeinsam mit PD Dr. Uta Elisabeth Höpken, der Leiterin der Arbeitsgruppe „Mikroumgebung als Regulator bei Autoimmunität und Krebs“ am Max Delbrück Center, sowie einem internationalen Team eine optimierte Immuntherapie vor: Die CAR-T-Zellen, die Rehm und seine Kolleg*innen im Labor hergestellt haben, erkennen die entarteten B-Zellen nicht wie bisher anhand nur eines Oberflächenmerkmals. Stattdessen nutzen sie gleich zwei solcher Rezeptoren, an denen sie andocken und die Krebszellen dadurch vernichten können.

Nicht alle Erkrankten besitzen den BCMA-Rezeptor

Lange Zeit wurde das Multiple Myelom ausschließlich mit Chemo- und Antikörpertherapien behandelt, manchmal ergänzt von Transplantationen körpereigener Blutstammzellen. Die Heilungsaussichten blieben mit diesen Ansätzen jedoch gering. Erst die seit einigen Jahren für verschiedene Krebsarten zugelassenen CAR-T-Zelltherapien brachten den Myelom-Patient*innen neue Hoffnung.

Bei der Behandlung entnimmt man den Erkrankten T-Zellen und rüstet sie in einem Bioreaktor mit der genetischen Information für einen Chimären Antigen-Rezeptor, den CAR, aus. Die CARs dienen den Immunzellen als Sensoren, um – im Fall des Multiplen Myeloms – das Oberflächenprotein BCMA aufzuspüren, das fast nur auf Plasmazellen, nicht aber auf gewöhnlichen B-Zellen zu finden ist. Die genetisch veränderten T-Zellen werden den Patient*innen per Transfusion wieder verabreicht, sodass sie die Krebszellen im Körper aufspüren und zerstören können.

„Das Protein BCMA ist allerdings nicht auf allen entarteten Plasmazellen vorhanden“, sagt Rehm. Bei einigen Patient*innen mit einem Multiplen Myelom sei es gar nicht nachweisbar, bei anderen gehe es im Laufe der Therapie verloren. „Wir haben daher drei Methoden kombiniert, die Einzelzell-RNA-Sequenzierung, die Immunhistochemie und die Durchflusszytometrie, und so nach einer weiteren Oberflächenstruktur gesucht, die für entartete B-Zellen typisch ist. Diese haben wir mit BAFF-R gefunden“, sagt die Erstautorin der Studie, Dr. Agnese Fiori aus Rehms Team, die inzwischen an der Charité – Universitätsmedizin Berlin forscht.

Zur Prävention und Therapie von Rezidiven

Auch zwei weitere Forscher der Charité waren an der Publikation maßgeblich beteiligt: Professor Jörg Westermann von der Medizinischen Klinik mit Schwerpunkt Hämatologie, Onkologie und Tumorimmunologie sowie Professor Jan Krönke, der mittlerweile die Klinik für Innere Medizin C – Hämatologie, Onkologie, Stammzelltransplantation und Palliativmedizin der Universitätsmedizin Greifswald leitet.

„BAFF-R ist insbesondere auf Zellen von Rezidiven des Multiplen Myeloms vermehrt vorhanden“, sagt Fiori. Darüber hinaus finde man es häufig auf entarteten Plasmazellen ohne BCMA, denen die bislang übliche Behandlung nichts anhaben kann. „Therapeutisch ist es somit in zweierlei Hinsicht naheliegend, CAR-T-Zellen zu verwenden, die sowohl BCMA als auch BAFF-R erkennen“, erläutert Rehm.

Der Forscher geht davon aus, dass etwa 5 bis 30 Prozent aller Patient*innen mit einem Multiplen Myelom von dem doppelten Ansatz profitieren würden. Für eine personalisierte Therapie sei es entscheidend, diese Erkrankten schon vor Behandlungsbeginn mit einem entsprechenden Test zu identifizieren, sagt er. Ein solches Screening sei in der klinischen Praxis leicht umsetzbar.

Erfolge in Experimenten mit Krebszellen

Gemeinsam mit seinem Team hat Rehm die bispezifischen CAR-T-Zellen sowohl in Zelllinien des Multiplen Myeloms als auch in patient*inneneigenen Zellen des Knochenmarks getestet. „In all unseren Experimenten konnten wir zeigen, dass die verbesserten CAR-T-Zellen auch dann weiter wirksam sind, wenn der BCMA-Rezeptor fehlt oder therapiebedingt verloren gegangen ist – also selbst dann, wenn eine Behandlung mit monospezifischen CAR-T-Zellen versagt hat“, berichtet der Wissenschaftler. Er hoffe daher, dass der neue Ansatz die Entstehung vieler Rezidive verhindern könne und den Betroffenen mehr Lebenszeit schenke, vielleicht sogar eine Heilung ermögliche.

„Um das Potenzial unserer Methode wirklich gut einschätzen zu können, ist nun eine erste klinische Studie notwendig“, fügt Rehm hinzu. Gemeinsam mit Kolleg*innen des Nationalen Centrums für Tumorerkrankungen (NCT) – einer langfristig angelegten Kooperation zwischen dem Deutschen Krebsforschungszentrum (DKFZ), exzellenten Partnern in der Universitätsmedizin und weiteren herausragenden Forschungspartnern an verschiedenen Standorten in Deutschland, zu der in Berlin neben dem Max Delbrück Center auch die Charité und das Berlin Institute of Health (BIH) gehören – möchte er sich im nächsten Schritt um entsprechende Fördergelder kümmern. Ziel des Forschers ist es, dass möglichst bald die ersten Patient*innen von den optimierten CAR-T-Zellen profitieren.

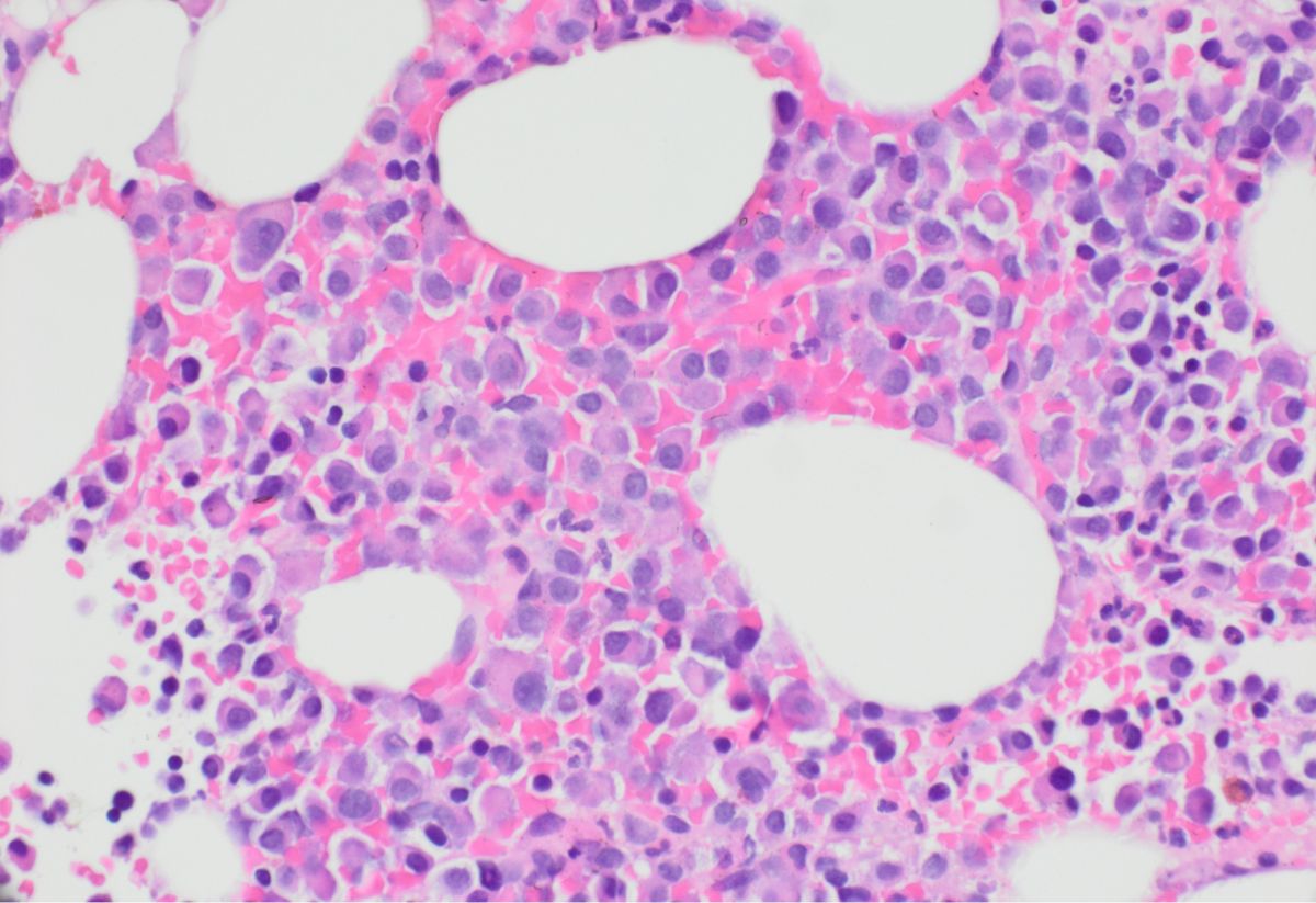
Foto: Histologische Aufnahme eines Multiplen Myeloms im Knochenmark: Die entarteten Plasmazellen sind violett angefärbt und es ist zu sehen, dass sie die gesunden Zellen fast vollständig verdrängt haben. Die großen weißen Hohlräume sind Artefakte, die durch die Fixierung der Gewebeprobe entstanden sind. © Ioannis Anagnostopoulos, Institut für Pathologie, Universität Würzburg

Max Delbrück Center

Das Max-Delbrück-Centrum für Molekulare Medizin in der Helmholtz-Gemeinschaft legt mit seinen Entdeckungen von heute den Grundstein für die Medizin von morgen. An den Standorten in Berlin-Buch, Berlin-Mitte, Heidelberg und Mannheim arbeiten unsere Forschenden interdisziplinär zusammen, um die Komplexität unterschiedlicher Krankheiten auf Systemebene zu entschlüsseln – von Molekülen und Zellen über Organe bis hin zum gesamten Organismus. In wissenschaftlichen, klinischen und industriellen Partnerschaften sowie in globalen Netzwerken arbeiten wir gemeinsam daran, biologische Erkenntnisse in praxisnahe Anwendungen zu überführen – mit dem Ziel, Frühindikatoren für Krankheiten zu identifizieren, personalisierte Behandlungen zu entwickeln und letztlich Krankheiten vorzubeugen. Das Max Delbrück Center wurde 1992 gegründet und vereint heute eine vielfältige Belegschaft mit rund 1.800 Menschen aus mehr als 70 Ländern. Wir werden zu 90 Prozent durch den Bund und zu 10 Prozent durch das Land Berlin finanziert.

Quelle: Pressemitteilung Max Delbrück Center
Doppelter Angriff auf entartete B-Zellen

Alle News im Überblick